
Artificial intelligence can help spot early signs of cancer in chest x-rays, according to a new study.
Scientists found that a state-of-the-art AI tool can classify normal and abnormal chest X-rays in a clinical setting at least as well as professional radiologists, but as an editorial on the paper pointed out, radiology departments are often understaffed.
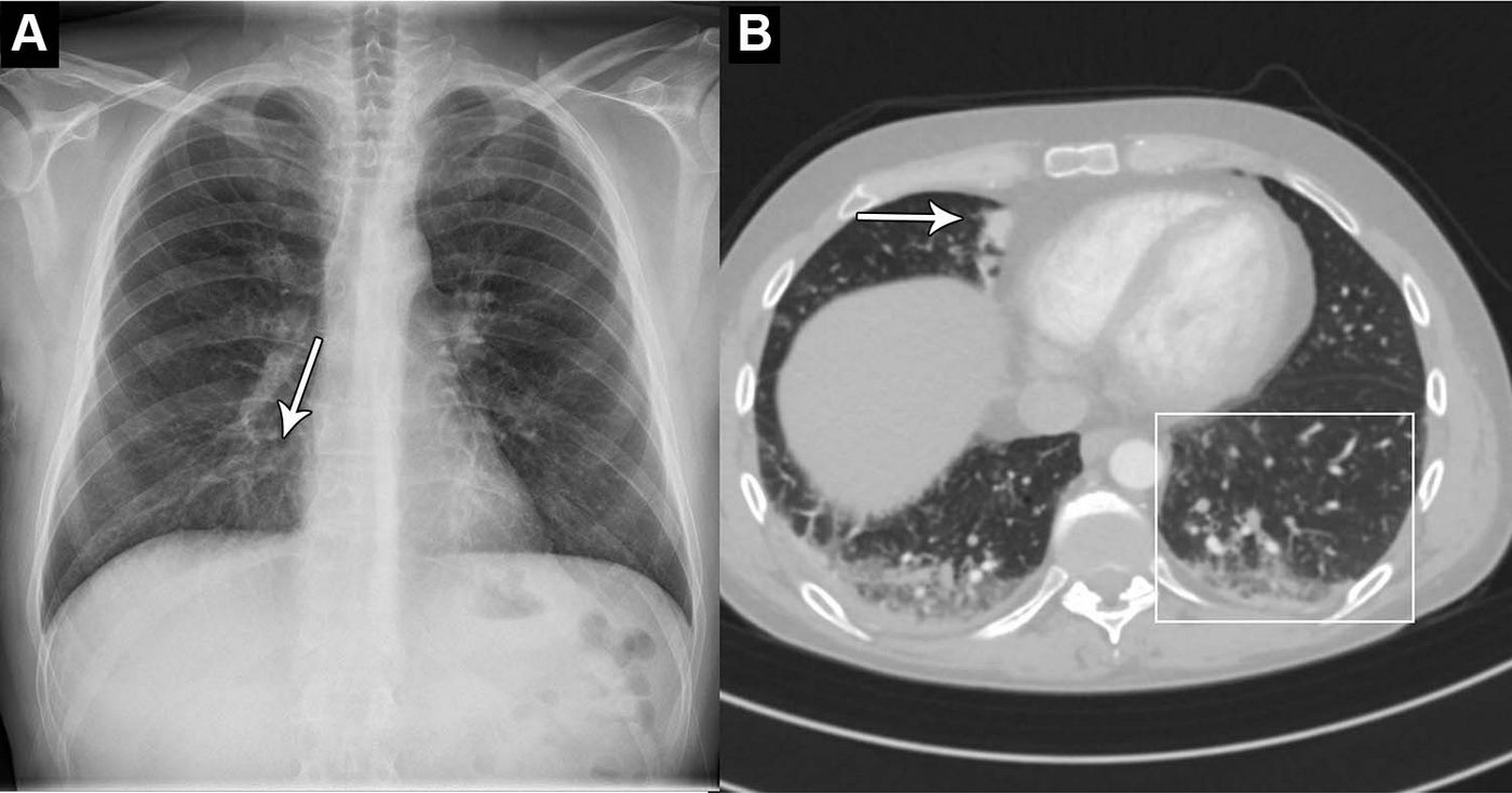
An abnormal chest X-ray can be an indication of a range of conditions, including cancer and chronic lung diseases.
Scientists say that an AI tool that can accurately classify normal and abnormal chest X-rays would greatly reduce the heavy workload of radiologists.
“Artificial intelligence has shown great promise, but should always be thoroughly tested before any implementation,” said study co-author Dr. Louis Lind Plesner, a radiologist from the Herlev and Gentofte Hospital in Copenhagen.
They used a commercially available AI tool to analyze the chest X-rays of 1,529 patients from four hospitals in Denmark.
Chest X-rays were included from emergency department patients, in-hospital patients, and outpatients. Two board-certified radiologists were used as the reference standard. A third radiologist was used in cases of disagreements.
MORE DIAGNOSING STORIES: New Prostate Cancer Test Makes Diagnosis from Urine in 20 Minutes With Near 100% Accuracy, Researchers Say
The AI tool identified abnormal chest X-rays with a 99.1% sensitivity rate, which included those with critical, remarkable, and unremarkable abnormalities. In 10 cases there were false negatives, 9 of which were clinically insignificant. The significant one, a subtle lesion, was also missed by one of the attending radiologists.
“The most surprising finding was just how sensitive this AI tool was for all kinds of chest disease,” said Dr. Plesner. “In fact, we could not find a single chest X-ray in our database where the algorithm made a major mistake.”
“Furthermore, the AI tool had a sensitivity overall better than the clinical board-certified radiologists.”
MORE AI STORIES: Intel Unveils Real-Time Deepfake Detector, Claims 96% Accuracy Rate
He also said the AI tool performed particularly well at identifying normal X-rays of the outpatient group at a rate of 11.6%.
Dr. Plesener said the findings, published in the journal Radiology, suggest that the AI model would perform especially well in outpatient settings with a high prevalence of normal chest X-rays.
The editorial on the topic praised the potential to take care of 7.8% of all the normal readings for the radiologists, one of the key findings of the study, but suggests that as a labor-saving device, more research is needed to ensure radiologists aren’t putting patients at risk for a mere 7.8% reduction in workload.
SHARE This Exciting Potential Use Of AI With Your Friends…











