
A new way of treating common inflammatory skin conditions such as eczema is on the horizon, according to a new study.
American researchers discovered that a compound called SYM2081 inhibited certain cells that drive inflammation in mice and human skin samples.
They say it paves the way for new treatments to prevent itching, hives, and other symptoms of skin conditions—such as eczema and rosacea—driven by mast cells.
Rosacea is a long-term skin condition that mainly affects the face. It may cause acne-like pimples, broken blood vessels, skin thickening, and facial flushing.
“I’m really excited about the clinical possibilities of this research,” said study senior author Professor Daniel Kaplan, of the University of Pittsburgh. “Currently, there aren’t a lot of good therapies that target mast cells, so we think that our approach could potentially have huge benefits in many skin conditions, including rosacea, eczema, urticaria, and mastocytosis.”
He explained that mast cells are filled with tiny granules “brimming” with histamine and other compounds that act as signals or activators of inflammatory pathways. When mast cells are activated, the granules spill open, releasing compounds that trigger a suite of immune responses.
Kaplan says the process—known as degranulation—is essential for protection against threats such as bee venom, snake bites, and pathogenic bacteria, but erroneous activation of mast cells also triggers allergic reactions, including swelling, hives, itching, and in severe cases, anaphylaxis, according to the findings published in the journal Science Translational Medicine.
In a previous paper, Kaplan and his team found that neurons in the skin release a neurotransmitter called glutamate that suppresses mast cells. When they deleted the neurons or inhibited the receptor that recognizes glutamate, mast cells became hyperactive, leading to more inflammation.
YOU MAY ALSO WANT TO KNOW: First New Treatment in 50 Years for Asthma Attacks and COPD ‘Could be a Game-Changer’
“This finding led us to wonder if doing the opposite would have a beneficial effect,” he said. “If we activate the glutamate receptor, maybe we can suppress mast cell activity and inflammation.”
To test the hypothesis, the research team looked at a compound called SYM2081, or 4-methylglutamate, which activates a glutamate receptor called GluK2 found almost exclusively on mast cells.
TOPICAL TOPICS: Stanford Scientists Transform Ubiquitous Skin Bacteria into a Topical Vaccine Against Tetanus
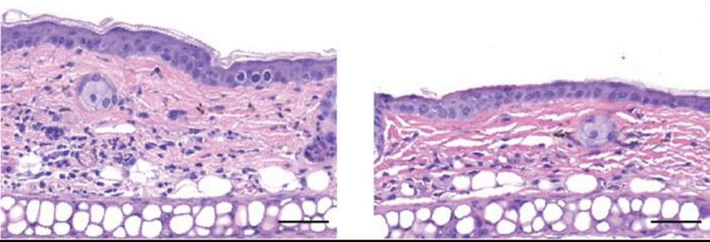
They found that SYM2081 effectively suppressed mast cell degranulation and proliferation in both mice and human skin samples. When the mice received a topical cream containing SYM2081 before the induction of rosacea or eczema-like symptoms, skin inflammation and other symptoms of disease were much milder.
A daily cream containing a GluK2-activating compound could therefore be a promising way to prevent rosacea and other inflammatory skin conditions.
OTHER UNMET NEEDS: Jordan Recognized as First in the World to Eradicate Leprosy
“Although there are excellent therapies available for different types of rosacea, many are antibiotic-based and they only target some of the symptoms. There are no good therapies for flushing, so this is a significant unmet need,” said Kaplan.
Now that the research team has shown proof-of-concept of their approach, they hope to engineer new GluK2-activating compounds that could eventually be tested in clinical trials.
SHARE This Research Team’s Brilliant Findings On Social Media…











